-
77岁老人命悬一线!青岛西海岸第二医院呼吸科医护24小时守护,从“死神”手里抢回生命
近日,一位77岁的老人被紧急送入呼吸与危重症医学科二病区。肺恶性肿瘤叠加重症肺炎、消化道大出血,再加上重度贫血和电解质紊乱,多重凶险病情让老人命悬一线,每一秒都在与“死神”赛跑。
鲁网 | 2025-11-07 17:55 -
平度市第三人民医院优化流程,提升检验服务质量
2025年9月25日平度市第三人民医院更换了His新系统,检验科在科主任的带领下经过工程师团队和检验科全体人员的共同努力,系统不断完善,运行顺利,全自动生化分析仪BS-2800M,全自动化学发光免疫分
鲁网 | 2025-11-07 16:42 -
双赛连捷!三个奖项诠释平度市第三人民医院公卫人的硬实力
近日,平度市、青岛市两级卫生健康领域技能竞赛结果相继揭晓,平度市第三人民医院的周德娟、姜红蕾凭借过硬的专业能力,在赛事中脱颖而出,用实力诠释了基层医公卫人的硬实力。
鲁网 | 2025-11-06 10:17 -
肠套叠“解套”有新法!小儿普外科无辐射温水复位,解除“大肠包小肠”
得益于小儿普外科全新开展的超声引导下肠套叠水灌肠复位术,夕夕在无辐射、不开刀的情况下,仅用半小时就成功复位,快速康复出院。
鲁网 | 2025-11-05 16:55 -
北京大学人民医院青岛医院当选山东省青年医务工作者协会智慧药学分会主委单位
11月1日,由山东省青年医务工作者协会主办,协会青岛市办事处、北京大学人民医院青岛医院承办的山东省青年医务工作者协会智慧药学分会成立大会暨首次学术会议、红岛医学论坛药学分论坛成功举办。
鲁网 | 2025-11-04 11:37 -
八旬老人突发腿肿,竟是“动脉炸弹”破裂!北大人民青岛医院血管外科顺利拆弹保平安
0天前,85岁的胡爷爷(化名)左腿突然肿胀疼痛,牵连着腹部隐隐发胀。在当地尝试土方子治疗后,症状反而加重。焦急的家人带他来到北京大学人民医院青岛医院血管外科,检查结果并非那么简单。
鲁网 | 2025-11-04 11:31 -
多面锦旗 +满屏好评!青岛西海岸第二医院妇产科凭实力圈粉,用爱守护母婴安康!
近日,青岛西海岸第二医院妇产科收获了一份特别的 “惊喜”—— 一天之内接连收到两面饱含深情的锦旗,还有多条来自产妇及家属的微信好评。
鲁网 | 2025-11-04 10:39 -
无声病房里的“护理密码”:聋哑胫腓骨骨折患者康复守护
张女士因高处坠落致左侧胫腓骨骨折,来到病房第一天,护理团队首先破解的是“需求传递关”。
鲁网 | 2025-10-31 09:20 -
尽早识别、立刻行动——平度市第三人民医院世界卒中日活动
2025年10月29日是第20个世界卒中日,今年世界卒中日的主题是“尽早识别、立刻就医”,为了动员全社会都来关注卒中、重视卒中预防,平度市第三人民医院红手环志愿团在唐都勇主任的带领下,积极响应党和政府
鲁网 | 2025-10-31 09:08 -
青岛市妇幼保健协会成立
10月30日,青岛市妇幼保健协会成立大会暨第一届第一次会员大会胜利召开。
鲁网 | 2025-10-30 19:45 -
小伙因“感冒”就医,医生敏锐识破致命肺栓塞!精准介入取栓碎栓,成功化解“夺命危机”
近期,青岛市妇女儿童医院介入医学团队凭借敏锐的判断和精湛的技术,不仅成功挽救了这名青年患者的生命,还接连救治了多名突发肺栓塞的孕产妇,守护了母婴安全。
鲁网 | 2025-10-30 11:13 -
门诊-检查-穿刺活检“一步”到位!乳甲门诊直连独立超声检查室,“一站式”就医更便捷
青岛市妇女儿童医院聚焦患者需求,为全面提升乳腺、甲状腺疾病的诊疗效率与精度,让患者少跑腿,充分整合多学科资源,在保留成人综合超声区域乳甲超声检查的基础上,特在乳腺、甲状腺门诊区域新设立独立的乳甲超声检
鲁网 | 2025-10-30 11:12 -
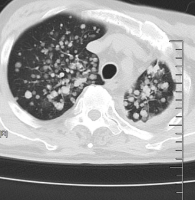
IVB期肺腺癌转移,脑内布满密密麻麻转移瘤!北大人民青岛医院肿瘤科帮七旬老人绝地求生!
近期,70岁的李先生(化名)在家人的搀扶下,步履蹒跚地来到北京大学人民医院青岛医院肿瘤科找到庄兴俊主任。
鲁网 | 2025-10-30 10:11 -
新生宝宝胎粪吸入,别怕!北大人民青岛医院NICU多学科联手守护生命第一口呼吸
在新生儿重症监护病房(NICU)的每一个日夜里,平稳的呼吸声就是最安心的乐章。
鲁网 | 2025-10-30 10:10 -
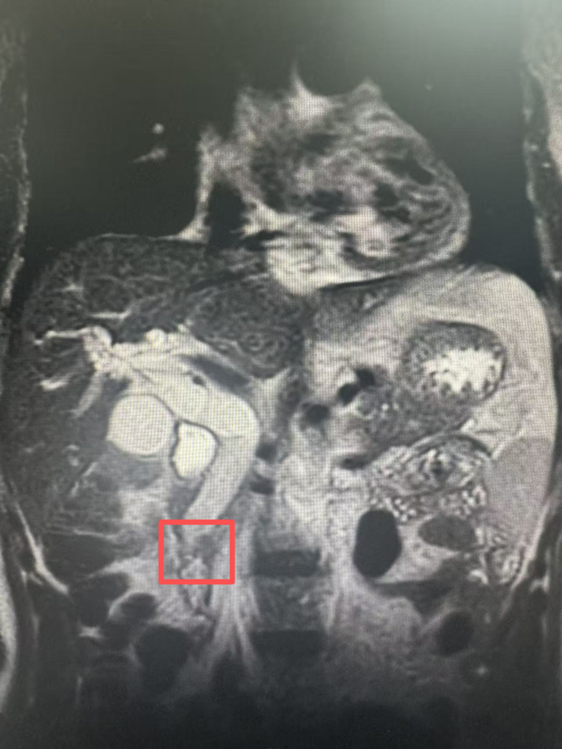
黄疸背后暗藏“隐形杀手”,北京大学人民医院青岛医院多学科协作突破外科手术天花板!
今年10月初,67岁的张先生(化名)来到北京大学人民医院青岛医院消化内科就诊,全身皮肤和眼白泛黄。消化内科执行主任彭利军接诊后,发现患者不仅全身黄染,还伴有尿色加深、食欲减退等症状。
鲁网 | 2025-10-30 10:10 -
96岁“心”挑战!青岛西海岸第二医院心脏诊疗中心成功为超高龄患者实施高危介入手术
当96岁的管爷爷(化名)因反复胸闷胸痛来到青岛西海岸第二医院时,他的心脏正面临着“生死考验”——左主干开口85%狭窄伴重度钙化,这一被称为“心脏血管生命线”的病变,一旦进展为急性心梗,死亡率几乎接近1
鲁网 | 2025-10-30 10:07 -
免费两癌筛查圆满落幕!青岛西海岸第二医院为女性健康筑牢“防火墙”
近日,青岛西海岸第二医院联合慧康社区卫生服务中心,为35-64岁社区女性居民及医院职工开展免费两癌筛查,用专业与责任守护女性健康。
鲁网 | 2025-10-30 10:07 -
脂肪肝可逆转,但莫入误区!北京大学人民医院感染与肝病中心专家团队开出“健康处方”
2025年7月起,我国肝病诊疗的开拓团队——北京大学人民医院感染与肝病中心团队每周四、周五常态化在北京大学人民医院青岛医院坐诊。
鲁网 | 2025-10-30 10:07 -
重阳敬老护安康 | 青岛西海岸第二医院义诊走进薛家岛长者照护之家,健康与温暖双向奔赴!
为响应尊老敬老号召,牢筑社区老年健康防线,青岛西海岸第二医院联合慧康社区卫生服务中心走进薛家岛长者照护之家,开展 “尊老敬老,义诊传情,让健康与温暖同行” 主题义诊活动,把优质医疗服务送到长辈们的 “
鲁网 | 2025-10-29 17:55 -
北京大学人民医院青岛医院走进城阳区红岛街道新城红岛湾,开展“重阳节爱老助老”多学科联合大型义诊活动
日前,北京大学人民医院青岛医院紧密携手红岛街道社区卫生服务中心,走进城阳区红岛街道新城红岛湾,开展“重阳节爱老助老”多学科联合大型义诊活动。
鲁网 | 2025-10-29 17:24


















